Ein Hallux Valgus kann unter Umständen ohne OP behandelt werden.
FOTOs Feiler
Wenn deine Füße im Ballen- oder Zehenbereich schmerzen, könnte das ein Hallux Valgus sein. Wie du ihn erkennst und was du dagegen tun kannst, erfährst du in diesem Artikel.
Was ist ein Hallux Valgus?
Welche Ursachen hat ein Hallux Valgus?
Helfen therapeutische Maßnahmen?
Ist eine OP notwendig?
Was passiert bei der OP?
Nach Angaben des Instituts für Qualität und Wirtschaftlichkeit im Gesundheitswesen hat schätzungsweise jeder dritte Mensch über 65 Jahre in Deutschland einen mehr oder weniger ausgeprägten Ballenzeh. Frauen haben ihn häufiger alsMänner, Ältere öfter als Junge. Da ein Hallux Valgus nicht immer mit Schmerzen verbunden ist, entscheidet sich danach, ob eine OP notwendig ist.
Was ist der Hallux Valgus?
Der Hallux Valgus ist laut Arbeitsgemeinschaft der Wissenschaftlichen Medizinischen Fachgesellschaften (AWMF) die am meisten verbreitete Fehlstellung des Fußes. Der Begriff kommt aus dem Latein und bedeutet nichts anderes als "abgeknickte Großezehe", was die Form der Fehlstellung bereits charakterisiert: Der große Zeh knickt nach innen in Richtung der anderen Zehen und der Ballen wölbt sich vor. Daher wird er auch Ballenzeh genannt.
Laut den Experten des AOK-Bundesverbandes verschiebt bei dieser Fehlstellung der erste Mittelfußknochen langsam in Richtung des anderen Fußes. Der vordere Teil des betroffenen Fußes wird in der Folge immer breiter und der Ballen wölbt sich vor. Der große Zeh biegt sich zu den anderen Zehen, die sich dadurch ebenfalls verformen können und häufig weh tun. In späteren Stadien kann der Großzeh dann so deformiert sein, dass er sich über oder unter den zweiten Zeh schiebt.
Schmerzen können an den Zehen, am Ballen und an der Unterseite des Mittelfußes auftreten. Der Ballen ist deshalb häufig betroffen, weil er oft am Schuhwerk reibt. Ein Hallux Valgus kann auch Arthrose im Gelenk des großen Zehs begünstigen und zu chronischen Schmerzen führen. Die Verformung bildet sich im Normalfall nicht von selbst zurück.
Welche Ursachen hat der Hallux Valgus?
Entgegen der landläufigen Meinung ist das Tragen von High Heels - also meist zu engen Schuhen mit hohen Absätzen - nicht Auslöser für die Verformung der Zehen. Laut AOK gibt es Menschen, die regelmäßig enge Schuhe tragen, ohne einen Hallux Valgus zu bekommen. Umgekehrt kann es auch solche treffen, die überwiegend bequeme, flache Schuhe tragen.
Vielmehr ist die Entstehung eines Hallux Valgus auf ein schwaches Bindegewebe oder auf eine Erkrankung der Gelenke, zum Beispiel Arthrose, zurückzuführen. Wie die AOK-Experten wissen, seien manche Menschen auch erblich vorbelastet.
Thomas Ebel, Arzt im AOK-Bundesverband, warnt dennoch: "High Heels oder spitze Pumps können die Entwicklung aber begünstigen und verstärken. Denn von Natur aus brauchen die Zehen so viel Platz im Schuh, dass sie sich strahlenförmig ausdehnen können. In den meisten Schuhen ist aber nur Platz für eine gerade Zehenhaltung.
Hallux Valgus: Welche Maßnahmen können helfen?
Haben Betroffene keine Beschwerden, ist laut AOK auch keine Behandlung erforderlich. Gelegentliche Schmerzen lassen sich mit Hilfsmitteln lindern. Die AOK empfiehlt Schuheinlagen, Schaumstoffpolster, Schienen oder Bandagen. Auch Fuß- und Zehengymnastik helfen: Dadurch werden die Fußmuskeln gekräftigt und das Bindegewebe gestrafft. Diese Übungen können helfen:
so oft es geht, barfuß laufen - möglichst auf Bodenflächen mit unterschiedlichen Belägen und Neigungen
abwechselnd seitwärts, rückwärts und vorwärts laufen
kleine Dinge, die zu Boden gefallen sind, mit den Zehen aufheben
im Sitzen einen kleinen Ball (Tennis- oder Igelball) unter den nackten Fuß legen und diesen ein bis zwei Minuten unter jedem Fuß hin und herrollen
langsam auf die Zehenspitzen stellen, halten und dann langsam wieder abrollen, mehrmals wiederholen.
Als alternative Methode bieten einige Physiotherapeuten auch die Spiraldynamik an. Das ist eine Therapie aus der Schweiz, die auf der Evolutionsbiologie basiert. Sie ist auf der Sichtweise der funktionellen Anatomie und Biomechanik des menschlichen Körpers aufgebaut. Patienten wird damit in Kursen eine Art Selbsthilfe-Baukasten zur eigenen Anwendung mitgegeben. Laut Spiraldynamik Holding mit Sitz in Zürich hilft die Methode auch bei Hallux Valgus. Dabei wird der erste Mittelfußknochen stabilisiert, durch das sogenannte Fersenlot die Ferse gerade gestellt werden sowie durch gezielten Kraftaufbau der Vorfuß und die Großzehenmuskulatur gestärkt.
Hallux Valgus: Ist eine OP notwendig?
Das eigentliche Übel lässt sich durch die therapeutischen Maßnahmen allerdings nicht beseitigen. Fehlstellungen an sich können nur durch eine Operation korrigiert werden. Die Art der OP richtet sich laut AOK danach, wie ausgeprägt die Beschwerden sind.
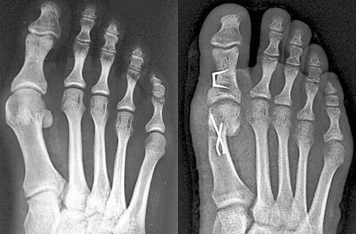
In den meisten Fällen werden Sehnen und Gelenkkapsel korrigiert, um die Fehlstellung des großen Zehs zu verringern. Der erste Mittelfußknochen und oft auch das Grundglied der Großzehe werden durchtrennt und so verschoben, dass der Zeh wieder geradesteht. Manchmal muss das erste Mittelfußgelenk auch versteift werden. Dabei kommen Metallplatten, Schrauben und Drähte zum Einsatz. In den ersten Wochen nach der Operation muss der Fuß stabil gehalten werden.
"Ist die Wunde ausreichend verheilt, beginnen langsam die Zehenübungen. Nach vier bis sechs Wochen sind die Knochen in der Regel wieder so stabil, dass der Fuß voll belastet werden kann", so Mediziner Ebel.
Artikel enthält Affiliate Links
*Hinweis: In der Redaktion sind wir immer auf der Suche nach nützlichen Produkten für unsere Leser. Es handelt sich bei den in diesem Artikel bereitgestellten und mit einem Einkaufswagen-Symbol beziehungsweise einem Sternchen gekennzeichneten Links um sogenannte Affiliate-Links/Werbelinks. Wenn du auf einen dieser Links klickst bzw. darüber einkaufst, bekommen wir eine Provision vom Händler. Für dich ändert sich dadurch nichts am Preis. Unsere redaktionelle Berichterstattung ist grundsätzlich unabhängig vom Bestehen oder der Höhe einer Provision.