Universität Würzburg berichtet: Chlamydien können sich im Darm einnisten

2 Min
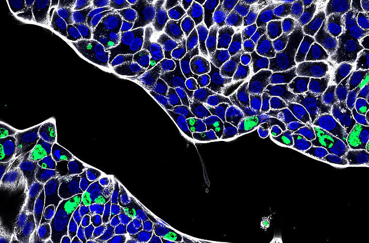
Immunfluoreszenzfärbung von menschlichen Magenzellen, die auf einer Mikroplatte gewachsen und mit Chlamydia trachomatis infiziert sind. Grün: Chlamydien, blau: Zellkerne
Universität Würzburg berichtet: Chlamydien können sich im Darm einnisten
(Bild: Pargev Hovhannisyan / Universität Würzburg)

Forschende aus Würzburg und Berlin berichten im Journal PLOS Pathogens davon, dass sich Chlamydien im Darm einnisten können.

Ist ein Mensch mit Chlamydien infiziert, kann er diese Bakterien beim ungeschützten Geschlechtsverkehr auf andere Menschen übertragen. Die Erreger verursachen anfangs meist keine oder nur leichte Symptome, wie einen Juckreiz an Vagina, Penis oder Anus. Wird die Infektion bemerkt, lässt sie sich gut mit Antibiotika behandeln. Passiert das nicht, können die Bakterien gravierende Probleme verursachen, bis hin zu Unfruchtbarkeit und Krebs.

Aus dem klinischen Alltag ist ein Phänomen bekannt, das nach einer erfolgreichen Antibiotika-Therapie auftreten kann: Wenn bereits behandelte Menschen mit einer erneuten Chlamydien-Infektion zum Arzt kommen, sind sie oft von genau denselben Bakterienstämmen befallen wie bei der vorherigen Infektion.

„Der Verdacht liegt darum nahe, dass die Bakterien im Körper eine Nische finden, in der sie bislang nicht angreifbar sind, dass sie dort ein dauerhaftes Reservoir bilden und später wieder aktiv werden können“, sagt Professor Thomas Rudel, Chlamydien-Experte und Leiter des Lehrstuhls für Mikrobiologie am Biozentrum der Julius-Maximilians-Universität (JMU) Würzburg. Dieses Phänomen nennt sich Persistenz. Es ist problematisch, weil die im Körper überdauernden Chlamydien im Lauf der Zeit immer resistenter gegen Antibiotika werden.

Darm-Organoide experimentell mit Chlamydien infiziert

In welcher Nische persistieren die Bakterien? Von Experimenten an Mausmodellen ist bekannt, dass die Chlamydien im Darm der Tiere überdauern können. Und auch beim Menschen scheinen es sich die Bakterien an genau dieser Stelle bequem zu machen. Das berichten die Arbeitsgruppen von Thomas Rudel und Sina Bartfeld im Journal PLOS Pathogens. Die Professorin war bis 2021 an der JMU tätig; nun leitet sie das Fachgebiet für Medizinische Biotechnologie an der Technischen Universität Berlin.

Den Darm als Nische identifizierten die Forschenden mit Hilfe künstlicher Organe im Mini-Format, sogenannter Organoide. Das sind im Labor hergestellte Strukturen aus menschlichen Darmzellen, die dem Vorbild-Organ in Aufbau und Funktion stark ähneln.

Die Teams aus Würzburg und Berlin versuchten, die Darm-Organoide mit Chlamydien zu infizieren. Dabei stellten sie zum einen fest, dass die innere Zellschicht der Organoide sehr resistent gegen die Bakterien ist: Die Erreger konnten dort nur eindringen, wenn das Zellepithel beschädigt war. Von der Blutseite her aber gelang den Chlamydien eine hoch effiziente Infektion. „In diesem Fall fanden wir immer wieder die persistenten Formen der Bakterien, die mit ihrer typischen Gestalt unter dem Elektronenmikroskop deutlich zu identifizieren sind“, sagt JMU-Forscher Pargev Hovhannisyan, Erstautor der Publikation.

Klinische Studien und weitere Experimente müssen folgen

Übertragen auf den menschlichen Organismus würde das bedeuten: Eine Chlamydien-Infektion mit nachfolgender Persistenz kann über das Darminnere nur schwer, über das Blut dagegen sehr leicht erfolgen. Ob das im Körper des Menschen tatsächlich so passiert, müsse aber in klinischen Studien noch bestätigt werden, wie Thomas Rudel sagt.

Die experimentell arbeitenden Teams um Thomas Rudel und Sina Bartfeld möchten als nächstes klären, ob die Chlamydien für ihre Persistenz bestimmte Zelltypen wählen – keine einfache Aufgabe, schließlich besteht der Darm aus Hunderten von unterschiedlichen Zellarten. Vielleicht sind es aber auch Faktoren aus dem umliegenden Gewebe, die eine Persistenz auslösen. Diese und weitere Details sollen nun untersucht werden.

Gefördert werden diese Arbeiten vom Europäischen Forschungsrat, der Thomas Rudel 2019 einen ERC Advanced Grant über rund 2,5 Millionen Euro zur Erforschung von Chlamydien bewilligt hat. Weitere Fördermittel stammen von der Deutschen Forschungsgemeinschaft (DFG).

Infection of human organoids supports an intestinal niche for Chlamydia trachomatis. PLOS Pathogens, 22. August 2024, https://doi.org/10..1371/journal.ppat.1012144.